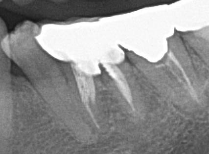
投稿日: 2025年12月16日 投稿者: 木田歯科医院根と根の間にむし歯があって残せない 根と根の間、根分岐部といいますがここに大きなむし歯があってこれは無理と判断しました。そもそも被せ物がしてあった歯なんですがここがトンネル状になっていてイヤな臭いがして気になっていたそうです。半分にセパレートして矯正で引き上げて小臼歯2本分にして残すという方法も無くは無いのかもしれませんがインプラントの方が予知性は高いと思います。