矯正的廷出・外科的廷出 ・クラウンレングスニング

歯肉の下までむし歯が進んでしまったり、歯肉の下から歯が折れてしまった場合は、歯根を廷出させることや歯肉の高さを下げることによって保存が可能になることがあります。

廷出は矯正によって行う場合と、外科的に行う場合があります。歯肉の高さを下げて歯根を露出させることをクラウンレングスニングといいます。 

ブログの関連記事を見る





矯正的廷出  


ゴムやスプリングを使って歯根を引き上げます。もちろん見えないようにこの上に仮歯が入ります。

ブログの関連記事を見る




外科的廷出 


歯根が折れてしまって差し歯が取れてしまったケース。このケースでは一度抜いて浅く戻すという方法で歯根を保存しました。

ブログの関連記事を見る




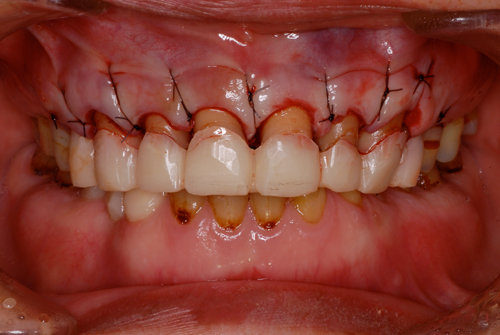
クラウンレングスニング


全体的な治療が必要なケース。
診断用ワックスアップを行い、クラウンレングスニング。

ブログの関連記事を見る








▲