この症例です。
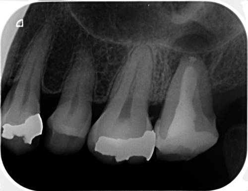
やっとひと段落です。再発したサイナストラクトは消えて不快症状も消失です。結局1年以上かかってしまいました。ずっと通院して頂いたわけではありません。最初の治療で数回。その後は経過観察で外科が1回です。何度か書いていますが何ヶ月もずっと治療し続けるような根管治療は間違っています。基本的には時間は問題を解決しません。





レントゲンでもずいぶん骨ができているように見えます。外科まで含んだ根管治療の治療費はトータルで20万円程度です。
なお、木田歯科医院は4月から自由診療専門医院となります。保険での治療は行いません。


