歯頸部の充填には歯肉の圧排はマストです。はみ出した充填がなされている歯をよく見ますが、不潔になってむし歯になったり歯肉炎を引き起こします。摩耗などによって生じたむし歯ではないこの部位の欠損(くさび状欠損)は、程度によりますが変な充填をするくらいならそのままにしておく方が良いです。
4本を1回のアポイントで終わらせるつもりで着手しましたが、結局2回掛かってしまいました。
福島県いわき市にある自由診療専門の歯科医院です。TEL 0246-36-5960
歯頸部の充填には歯肉の圧排はマストです。はみ出した充填がなされている歯をよく見ますが、不潔になってむし歯になったり歯肉炎を引き起こします。摩耗などによって生じたむし歯ではないこの部位の欠損(くさび状欠損)は、程度によりますが変な充填をするくらいならそのままにしておく方が良いです。
4本を1回のアポイントで終わらせるつもりで着手しましたが、結局2回掛かってしまいました。
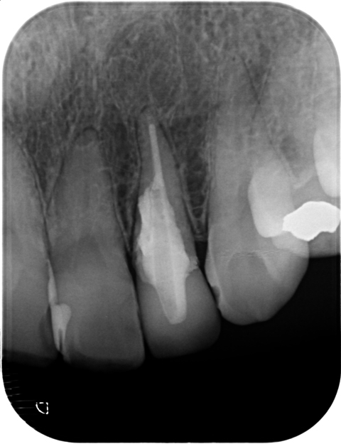
ガッタパーチャの除去の方法はいろいろありますが、要するに根管の中が綺麗になれば良いのです。ならば効率よく短時間で終えることは重要です。もちろん安全に確実に行うということが優先します。
再治療は前医が上手なほど苦労します。根尖まで緊密に充填された根管の再治療は大変です。それに比べてスカスカに根管の上部だけ根管充填された歯の再治療のなんと楽なことか(チコちゃん風)。
根尖まで緊密に根充するのは大変な作業で、レントゲンを見るとその歯科医の熱意が伝わってくるのですが、そのことに時間と労力を費やすなら根管内に細菌を入れないことに注力した方がずっと効果的なのです。それは徹底的な感染象牙質(むし歯)の除去と隔壁とラバーダムと緊密な仮封です。
この症例の16ヶ月経過です。


赤い線で囲まれた部分が病変です。原因はパーフォレーション。

歯根破折の心配は消えませんが、病変はほぼ消えてlamina dura(歯槽硬線)も現れてきています。良好な経過を患者さんに伝えることができた時は晴れやかな気持ちになります。