インレイが脱離したら内部にはむし歯がありましたとさ。
という日常?
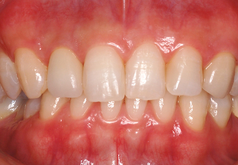
オールセラミッククラウン
ホームページに掲載していた10年以上前のかなり古いケースです。書き換えのためこちらに移行します。
右上2番の変色と左上3番のレジン前装冠の改善が希望
術前の状態

術後
偶然上手くいきましたが、ここまで色調をマッチさせるのは難しいです。

写真中央
右上2番の術後

写真中央
左上3番の術後

別症例ですが、ラボ(技工所)にはこれらの画像を送ります。距離と露出を変えて、10枚ほど撮影します。これだけでは難しい場合は、直接テクニシャン(技工士)が来て色あわせを行います。完成して装着された写真も見てもらうことによって、私の眼(実際はカメラ)とテクニシャンの眼のすりあわせを行っていくことになります。精密な印象と情報を渡すことが重要で、そこでのエラーをカバーすることはできません。CAD/CAMにおいては更に形成の善し悪しが決定的に影響してきます。3Dスキャナとミリングマシンは、好き嫌いが激しいのです。

7月25日(土)は休診です。
通常の土曜日は終日診療しているのですが、今週は連休のど真ん中ですので当院もお休みします。皆様も良い休日をお過ごしください。
いわき市歯科医師会では休日救急歯科診療を行っています。