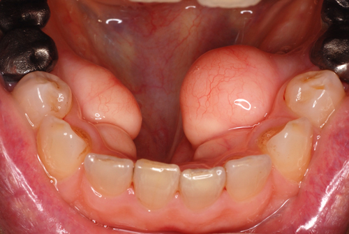
骨隆起

あまり自覚症状はないのでご本人が気づいていない場合も多いのですが、骨がコブのように大きくなったものを骨隆起といいます。原因はハッキリしていないようですが、経験的に咬む力が強い人に多いように思います。突然気がついて癌と思ってしまう方が時々いますが、全くそのような心配は要りません。

特に不自由が無ければ放置して良いのですが、歯を失って義歯を入れるときには邪魔になります。この写真のようにここまで大きくなると除去が必要になります。これは下顎ですが上顎では口蓋部に好発します。

エキストリュージョン12年経過

高校の部活の練習でぶつけて破折した歯です。一見ダイレクトボンディングも可能なように見えますが裏側は歯肉の下まで破折していました。

隣の歯は黒ずんでいますが、打撲による歯髄死です。
破折した歯は既に抜髄された状態での来院でしたので、根管治療後エキストリュージョンしてメタルボンドで補綴。隣の歯は根管治療後、セレックでベニアで修復しました。

12年後の来院。

少しマージンが露出してしまいました。歯肉のレベルは不揃いです。決して褒められたプラークコントロールではないです。しかし大きな問題は無く機能しています。

抜去歯は語る

抜去歯で根管治療の練習をよくしているのですが、ウェーブワンゴールドグライダーという最近発売になったニッケルチタンファイルでグライドパスの形成をしている途中で破折しました。すかさず破折ファイル除去の練習に移りましたが、やってみて何か変なのでレントゲンを撮ると理解できない映像です。

近心根から入っていたはずのファイルが遠心根から除去できました。除去は非常に簡単で数分で終わりました。

除去後にもう一度プログライダーを入れて撮影したところ。ウェーブワンゴールドグライダーではありません。

根尖孔から意図的に出しています。

根尖方向から水平にカットしていきます。

つまり折れてしまったウェーブワンゴールドグライダーは根尖孔手前で合流していた遠心根管に180度近く曲がってUターンするように登って行って折れていたわけです。練習ですから使用済みのファイルを使いましたが、未使用だったらどうなっていたのでしょうね? 流石に折れるとは思いますが・・・。

こういった曲がり方をするファイルは指でも簡単に曲がって真っ直ぐに戻りません。とても柔らかい材料でできています。何種類かあるのですが総じて第五世代のニッケルチタンファイルと呼ばれています(プログライダーは第六かも。良く解りません)。このファイルの根管への追従性を経験すると古い世代のニッケルチタンを使いたくなくなります。こうして当院の不良在庫が増えていくのです。