冬休み

今年もお世話になりました。

木田歯科医院の冬休みは12月27日の水曜から新年の1月4日の木曜までです。
当院に通院中の患者さんで何かお困りの際にはお伝えしている私のプライベートの携帯電話に連絡してください。

いわき市歯科医師会では休日救急歯科診療所を開設しております。年末年始にお困りの際はご利用ください。

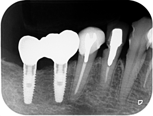
根管治療の必要が無い歯のポストの交換

根尖病変が無くてもむし歯になっていればポストを除去しなければなりません。ポストというのは土台ですね。
下のレントゲンのようなメタルポストは当院ではもう10年以上前から行っていません。レジン系のポストと比べて利点が殆ど無いと思うからです。ただ一つの利点は再治療の際、機材と方法を知っていれば簡単に除去できるということですね。

因みに奥の2本のインプラントは当院で埋入したものでもうすぐ6年経過します。安定しているようです。