上顎第一大臼歯には高い確率で近心頬側第二根管が存在しますが、多くの場合見逃されています。このケースがまさしくそうでした。
動画には色々な道具が出てきますが、顕微鏡治療にはこういった細かな機材がとても大切です。滅多に出番が無くても無いと手が出ないということがあります。
福島県いわき市にある自由診療専門の歯科医院です。TEL 0246-36-5960
上顎第一大臼歯には高い確率で近心頬側第二根管が存在しますが、多くの場合見逃されています。このケースがまさしくそうでした。
動画には色々な道具が出てきますが、顕微鏡治療にはこういった細かな機材がとても大切です。滅多に出番が無くても無いと手が出ないということがあります。
全ての根管治療が成功するわけではありません。このケースの一年後です。
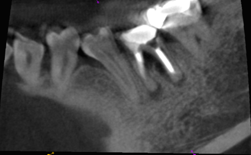
初診時には膿がたまって腫れており痛みもありました。前医では抜歯宣告をされて来院されました。CT画像です。
治療に着手すると近心根(上の画像の左側の根)にはパーフォレーションがあり、遠心根にはヒビが見つかりました。抜歯の選択も説明し、痛みや腫れが取れても長期に安定した状態をキープするのは難しいこともお話ししました。意思決定は患者さんが行います。結果的には歯を残すことを希望されました。
MTAで根充後の画像です。
経過は良好だったのですが約1年後に再発しました。
レントゲンです。コーンカットはお見逃しを(汗)
根尖の病変はまだ残っていますが大分回復方向にあったように見えます。しかしおそらく近心根が割れています。前回の治療でもかなり厳しい状態だったのですからこれをまた再治療する価値はありませんし、私が出来ることはやり尽くしているのでもう一度アプローチしても改善する見込みはありません。したがって私にはこの歯を救う手段は無く抜歯が妥当だとお伝えしました。痛みはそれ程強くは無いので少し考えてみるとのことでした。
治療に入る前には、最善は尽くすけれど成功を保証することは出来ないこと。歯内療法自体が成功してもそれと歯が長期に保存出来るかどうかは別であることなどは説明していますが、それでも術者としてはずっと長持ちしてくれることを祈りながら治療を終えるのです。
最後に「こうなってしまってこの治療をしたことを後悔していますか?」と訊いてみると、そんなことはないと答えてくださいました。
予測のできないことや限界はあるにせよ、患者利益を最優先に自分にできる最善の治療をするということを続けていくしかありません。殆どのケースで経過は良好なのですから。
医療費控除という制度があります。必ず説明書をお渡しするようにしていますが、ちょっと勘違いされていた方がいらっしゃったので・・・
税金が還付される可能性がありますからぜひ申請してください。やり方が分からなければ税務署に相談しましょう。申請には領収書が必要ですからなくさないように保管してください。