術前。左上2番の先天欠損と右上3番の欠損で、右上はブリッジが入っています。
前歯を綺麗にしたいというご希望です。
画像を加工して患者さんにイメージをつかんで頂きます。
通常犬歯と犬歯の間には4本の歯があるわけですが、ここに3本しかないために隙間ができています。少しずつ歯を大きくしてスペースを埋めます。上のシミュレーションの画像のようにダイレクトボンディングで治療することは可能ですが、はたしてこれが患者さんが望むカタチなのかどうかが問題です。この画像をお見せして考えて頂いた結果、患者さんは右上のブリッジまでやり直してメタルボンドで補綴するという方法を選択しました。ただし、2ヶ所の隙間を埋めるためにブリッジを再製し4本の歯を削るわけですから(そのうち2本は手付かずの歯です)、デメリットも十分説明し患者さんの意思決定をミスリードしないようにしなければなりません。当然デメリットがメリットを大きく上回る場合は希望されてもお断りします。
因みに下の前歯が重なって生えている場合に、1本抜いて矯正で並べる方法があるのですが、これをスリーインサイザー(3 Incisor)と言います。
仮歯を入れて患者さんの希望を聞き、試行錯誤で形態を決めていきます。その形をコピーして最終補綴物を作るわけです。唇との調和などは技工所では知り得ない情報ですから、仮歯の情報は貴重なのです。型を採った後は技工士さんの技術です。技工士さんの技術を引き出すためには精密な印象を渡さなければなりません。
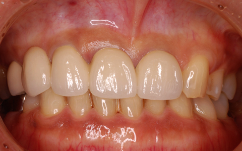
セット直後。
約4年経過。犬歯の先が少し摩耗、あるいはチップしていますが全体として安定しています。おそらくメリットがデメリットを上回っていると思われます。





