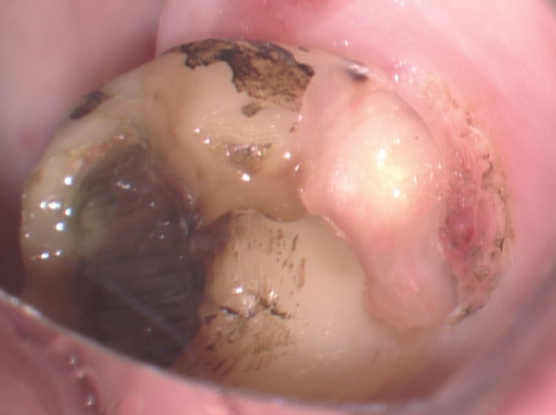
右に写っているクラウンの隙間がむし歯になっています。
クラウンを外してむし歯を除去したところ。歯肉を電気メスで焼いています。これをレジンで埋めて・・・・
仮歯を入れて経過を診ます。
両隣の歯は残念ですが根管処置が必要でした。根管治療はとても難しいので、できる限り避けたいものです。
福島県いわき市にある自由診療専門の歯科医院です。TEL 0246-36-5960
下顎5番6番の歯髄炎です。5番はズキズキ痛みが続くということなので抜髄即日根充です。次のアポイントで6番は一過性の冷水痛だったので断髄しました。2本の神経の治療が2回で終わりました。
6番のインレイを除去してむし歯を削り取ると露髄しました。写真は冠部歯髄を除去したところ。出血します。つまり健康だと思われる歯髄が露出しています。死んだ歯髄は出血しません。
NaOCl綿球を置いて5分ほどでほぼ止血しました。
MTAをのせて
その上をセラカルという特殊なセメントで覆ってレジンコアを詰めます。
次回のアポイントで経過を訊くと全く痛みは出なかったとのことでした。さっそく補綴処置に移ります。他の歯科医がこの6番のレントゲンを将来撮影することがあったならきっと手抜きの根管治療だと思うことでしょうが、これはバイタルパルプセラピー、歯髄保存療法です。従来は若年者が適応とされていましたが、今は年齢には関係ないことが解っています。