セラミックインレイなどの白い詰め物は殆どの場合レジンセメントという接着剤で装着されます。レジンセメントはコンポジットレジンのような物なので堅くて歯に接着します。したがってはみ出したセメントを完全に除去するのは大変難しく、その色は歯に似ているのでさらに困難さを増します。明るい拡大下で無ければ無理なんじゃないかとさえ思います。
書きたいことは山ほどあれどじっと堪えてここは口をつぐみます。動画は全編早送りですが実際の治療時間は100分以上掛かっています。
プロルートMTAを使った直接覆髄
ホームページに掲載していた10年以上前のかなり古いケースです。書き換えのためこちらに移行します。
術式は今も変わりませんが、ご覧のようにこの時は保険での治療(全く採算に合いません)という甘えもあってラバーダムを使用していません。この部位でこの処置でラバーダムをしないことは今の当院の治療ではあり得ません。また、プロルートMTAは硬化すると黒くなるので今はこの部位では使用していません。別のMTAを使っています。最終的に被せる場合にはその限りではありません。
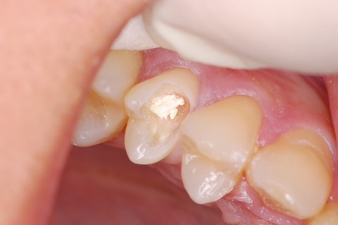
さて、上顎小臼歯近心隣接面からの深いムシ歯です。痛みはありません。時々物が詰まるという程度の訴えでした。当時は痛みがあれば神経を抜く治療になることが殆どでした。

カリエスチェックというムシ歯染色液を使って慎重に感染歯質(ムシ歯)を削り取ります。歯髄に近くなったらタービンは使わず小さいナイフのような器具で手指の感覚で削り取っていきます。

歯髄に到達してしまいました。赤く見えるのが歯髄(神経)です。患者さんの年齢やその他をトータルで考えて、これは神経を残す方向で治療を進めることにしました。近日中に痛みが出て結局神経を抜かなくてはならなくなる可能性と、暫くしてから同様に痛くなってくる可能性、そして無症状で歯髄が壊死する可能性を説明し、納得して頂きます。

MTAで露出した神経をカバーします。

コンポジットレジンで更にカバーして光学印象まで済ませて仮封して本日の処置は終了します。現在はレジンの前にコンポマーを入れています。
この削り方はコンサーバティブな修復処置には対応しません。金属で作ったものを従来のセメントで付けてもこの形成では簡単に外れてしまいます。高度な接着操作によって最小限の切削量による修復が可能になるのです。今の私ならこのままコンポジットレジンで仕上げるかも知れません。

セレックで修復
